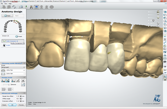
Le nouveau millénaire a apporté la révolution dans le domaine de la prothèse dentaire dans le terme d’utilisation d’un logiciel intelligent qui permet de concevoir la restauration de prothèse dentaire de manière virtuelle. Le logiciel permet de numériser et produire la prothèse dentaire et des couronnes, bridges, facettes, implants avec système CAD / CAM. Ce domaine est continuellement amélioré et le spectre d’indication s’élargit sur le, presque complète, domaine des prothèses dentaires avec la possibilité d’utilisation des différents matériaux.

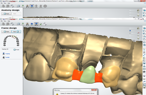
Le système CAD/CAM (Computer-aided design / Computer-aided manufacture) implique un processus informatique spécial de restauration, design et fabrication de prothèses dentaires et les implants en utilisant de blocs des différents matériaux. Grâce à cette technique, les meilleurs résultats sont obtenus en matière de qualité des restaurations prothétiques, tant sur le plan esthétique que fonctionnel.

Le laboratoire dentaire "Cvetić" combine deux systèmes CAD / CAM pour réaliser avec succès une variété de prothèses dentaires dans les plus brefs délais.
